
Instalaciones clínica dental Pontevedra| Dra.Rey
Espacios amplios y modernos
para tu comodidad dental
En la Clínica Dental Dra. Rey, nuestras instalaciones están diseñadas para ofrecer a nuestros pacientes un ambiente moderno y relajado, donde la comodidad y la seguridad son prioritarias. Contamos con tecnología de vanguardia que nos permite realizar diagnósticos y tratamientos con la mayor precisión, reduciendo tiempos de espera y garantizando resultados óptimos.
Clínica Dental con alta tecnología en Pontevedra
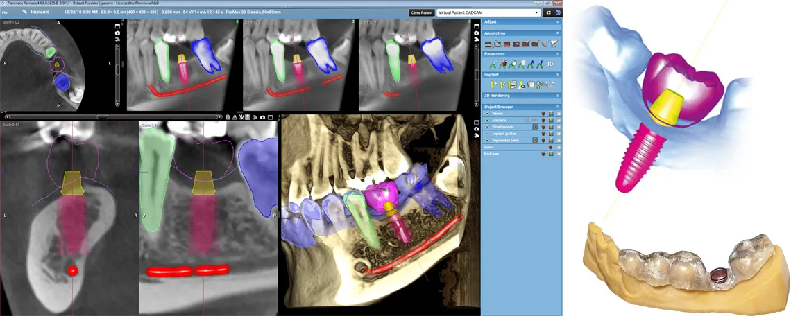
Disponemos del sistema de radiografía Planmeca ProMax® 3D s para realizar desde la más común radiografía panorámica, que nos permite conocer cuál es el estado general de la boca del paciente, hasta planificar al mínimo detalle la colocación de implantes, realizar ortodoncias o una endodoncia con más exactitud. Asimismo, contamos con Rx Periapical Myray, otro método para realizar radiografías y poder dar al paciente un diagnóstico totalmente fiable.
Planmeca ProMax® 3D s se ha diseñado para obtener la información más completa de la dentadura hasta el más mínimo detalle.
También contamos con otros métodos de radiografías complementarios para poder hacer un completo diagnóstico.
Así mismo, disponemos del Motor de endodoncia X-Smart + Horno Thermaprep 2 Denstply Sirona para realizar endodoncias más exactas, así como de un equipo de ultrasonidos Newtron P5xs Bled + Aeropulidor Air-N-Go que les permite eliminar toda la placa, las manchas y el sarro acumulado en la boca del paciente.


Lo que opinan nuestros clientes
Somos una clínica dental segura
Nos aseguramos de cuidar al máximo todos los protocolos de higiene, desinfección y esterilización, garantizando un servicio dental responsable y seguro para cada uno de nuestros pacientes. Utilizamos equipos de esterilización de última generación y seguimos estrictamente las normativas sanitarias, desinfectando tanto el instrumental como las superficies después de cada tratamiento.
Esto nos permite crear un entorno completamente higiénico, reduciendo cualquier riesgo y proporcionando tranquilidad a quienes confían en nosotros para su salud bucodental.
Espacios acogedores y modernos
Cada una de nuestras salas ha sido cuidadosamente pensada para proporcionar un entorno tranquilo y libre de estrés. Los pacientes disfrutan de espacios luminosos y climatizados, lo que asegura que cada visita sea lo más agradable posible.
Nuestras instalaciones son modernas, amplias y cómodas, además de cumplir rigurosamente la normativa de accesibilidad, por lo que no existe impedimento alguno para personas de movilidad reducida.
Aunque nos encontramos en un 2º piso, el edificio cuenta con ascensor, puertas amplias, sin ningún cambio de rasante o escalón alguno y está muy iluminado.
